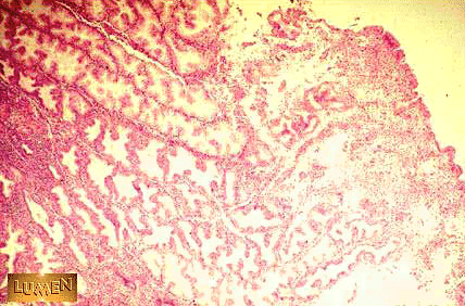
Utérus en phase sécrétoire 

 

glandes spiralées   Les glandes se spiralisent et commencent à devenir fonctionnelles.
dentelle utérine   La muqueuse utérine avec ses glandes bien développées prend l'aspect de "dentelle utérine". 

  Elle est prête à accueillir un oeuf fécondé.

dentelle utérine   En fin de cycle, la dentelle utérine commence à se dégrader.

 

Suite

Retour au cycle de l'utérus

Retour au sommaire


Photographie (copyright) de l' université Loyola de Chicago